How Painful Are Dental Implants? What Patients Really Experience

If you’re asking are dental implants painful, you’re not alone. Many patients in Houston who explore implant treatment share this concern early in the decision process. Pain often feels like the biggest unknown, especially when surgery is involved. The good news is simple: most patients experience far less discomfort than they expect. By understanding what dental […]
Dental Implant Cost in Houston: What Actually Affects the Price
If you’re researching dental implant cost in Houston, you’re likely trying to answer one straightforward question: Can I afford this—and is it worth it? That concern is completely reasonable. Dental implants are not a casual purchase. Instead, they represent a long-term investment in your oral health, comfort, and quality of life. Because implant treatment is tailored to each […]
What to Ask at a Dental Implant Consultation

A dental implant consultation Houston patients schedule is often the moment they stop researching and start making real decisions. At this point, people want clear answers, not pressure. They want to know what happens during a consultation and how to judge whether a treatment plan actually fits their needs. Because of that, this visit plays a critical […]
Best Dental Implants in Houston: What “Best” Really Means (And How to Choose Right)

When people search for the best dental implants in Houston, they usually want three things: a natural-looking result, a stable bite, and a provider who does implant surgery every week—not once in a while. Because dental implants are a long-term investment, the planning matters just as much as the placement. Why Dental Implants Are the Gold […]
January Dental Cleaning in Houston: The Best Way to Start the Year With a Healthy Smile

A January dental cleaning Houston residents schedule early in the year can make a real difference in long-term oral health. After weeks of holiday treats, sugary drinks, late nights, and skipped routines, January is the perfect time to reset your smile. Starting the year with a professional dental cleaning helps remove buildup from the holidays, catch small […]
Dental Retainers: Why They Matter After Braces and How to Care for Yours

A dental retainer is the final step after braces or clear aligners, and it plays an important role in keeping teeth straight. Orthodontic treatment moves teeth into position, but without proper retention, teeth naturally shift over time. Many patients assume their smile will stay straight once treatment ends. However, teeth move throughout life due to chewing, clenching, […]
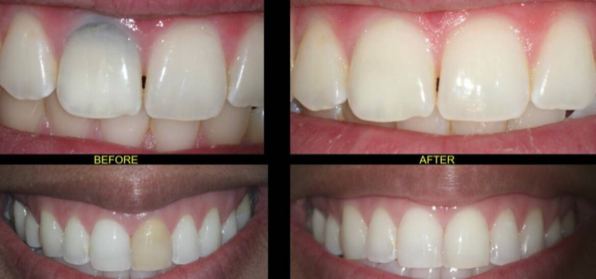
Internal Bleaching for Root Canal–Treated Teeth in Houston, TX

A dark tooth after a root canal can be frustrating. Many patients notice one tooth slowly turning gray or brown while the rest of their smile looks healthy. Fortunately, internal tooth bleaching offers a safe, effective way to restore the natural color of a root canal–treated tooth. Patients across Houston and nearby areas choose this treatment because […]
Urgent Dental Care Houston
Urgent Dental Care of Houston: Solutions for Emergency Dental Needs Houston, we have a dental problem. It’s late, your tooth is aching like a jackhammer, and you’re not sure what to do. Dental emergencies never send a calendar invite – they just strike when you least expect it. When that happens, you need immediate care […]
Gummy Smile Before and After: Real Results for Patients in Houston

Gummy Smile Before and After: Real Results for Patients in Houston A gummy smile can make teeth appear shorter than they actually are and draw attention away from your smile. If your gums show more than your teeth when you smile, you’re not alone. Many patients throughout Houston and the surrounding areas search for gummy […]
Zygomatic Implants for No Bone: A Real Solution When Traditional Implants Aren’t Possible

Zygomatic Implants for No Bone: A Real Solution When Traditional Implants Aren’t Possible Zygomatic implants for no bone give patients a real solution when dentists say traditional dental implants are not possible. Many people hear this after years of tooth loss, long-term denture use, or advanced gum disease. Severe bone loss in the upper jaw often […]